Dentist Accepting Emergency Patients in Willimantic, CT
Taking quick action when a dental issue arises can protect your long-term oral health. Emergency dental care isn’t just about solving a sudden problem—it also helps you avoid further damage and keep your teeth and gums in the best possible condition. Whether you’re dealing with a cracked tooth or another unexpected issue, a dentist who …
Read More
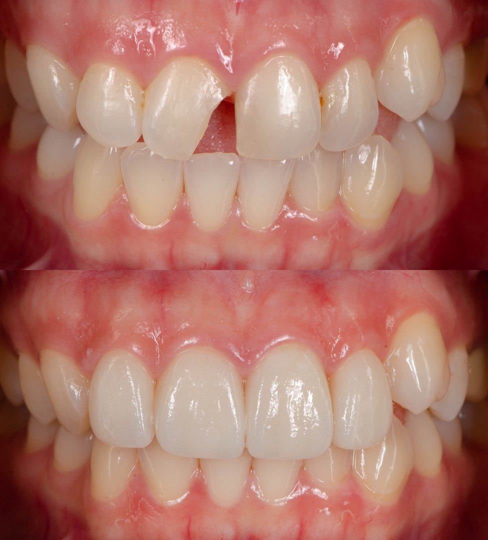
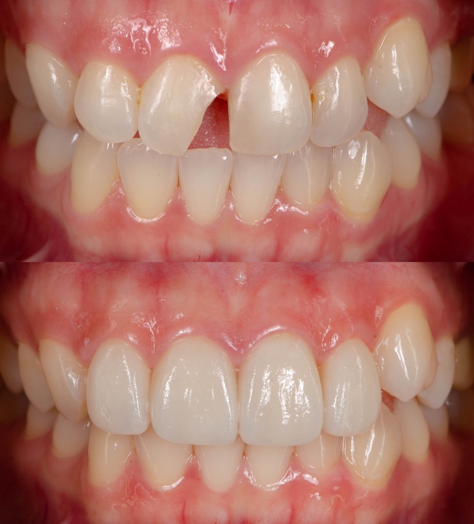
Broken Tooth Treatment in Willimantic, CT
You can dramatically improve your dental health with the right treatment after a tooth breaks. Whether the damage is minor or severe, your overall wellness and oral function depend on professional support. With the right dental care, you can protect your natural teeth, avoid future problems, and regain your smile. How dental treatment for a …
Read More
Urgent Dental Appointment in Willimantic, CT
When something suddenly feels wrong with your teeth, you shouldn’t have to wait days for help. Whether it’s a sharp pain, a broken tooth, or unexpected swelling, the relief that comes from fast, expert care can make all the difference. Feeling confident that your dental team is ready when you need them most brings peace …
Read More
Tooth Ache Treatment in Willimantic, CT
When you’re dealing with a toothache, all you want is relief. The discomfort can make it hard to concentrate, sleep, or enjoy meals. Getting help from a skilled dentist can restore your comfort and your peace of mind. It feels good to know you’re taking care of your health and protecting your smile. Why people …
Read More
Dentist Accepting Emergency Patients in Willimantic, CT
When a dental emergency happens, you want help fast, and you want to know that you’re in good hands. Whether it’s a chipped tooth, sudden pain, or a problem that can’t wait, having access to a dentist accepting emergency patients can bring immediate relief and peace of mind. Getting care quickly can protect your health, …
Read More
Broken Tooth Treatment in Willimantic, CT
A broken tooth can be a shock, but it doesn’t have to ruin your day. Getting prompt and professional care helps restore not only the function of your tooth but also your confidence in your smile. With the right dental team, you’ll feel supported and informed every step of the way. Common reasons people seek …
Read More
Best Emergency Dentist Near Me in Willimantic, CT
Best Emergency Dentist Near Me When you need immediate dental care, finding the best emergency dentist near you is essential. You want someone who is not only able to see you quickly, but also someone who knows how to deliver care with skill, professionalism, and clear communication. A trusted dentist can help you remain calm …
Read More
Best Emergency Dentist in Willimantic, CT
Best Emergency Dentist When a dental emergency happens, you want to be treated by a dentist who brings experience, professionalism, and a calming presence to your situation. The best emergency dentist will not only treat the problem quickly—they’ll also take the time to explain your options and help you feel in control of your care. …
Read More
Tooth Pain Treatment Near Me in Willimantic, CT
When tooth pain arises, the anxiety and discomfort can be overwhelming. A compassionate and attentive dental practice understands this and prioritizes creating a calming and supportive environment. From the moment you step into the office, you should feel reassured that your well-being is their top concern. The staff’s focus on your comfort extends to every …
Read More
Emergency Dental Appointments Near Me in Willimantic, CT
Emergency Dental Appointments Near Me When something unexpected happens with your teeth or gums, you want to know you’re turning to a dentist who is both highly skilled and genuinely focused on your well-being. Dental emergencies can be stressful, but a professional who has experience, confidence, and compassion can make all the difference. The right …
Read More
